
焦虑症睡觉有哪些症状
2026年3月27日
什么是假性抑郁症
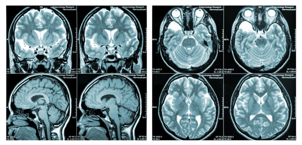
2026年3月28日自闭症做核磁共振可以检查出大脑结构和功能上的异常。

自闭症是一种神经发育障碍,通过核磁共振成像(MRI)可以观察到大脑结构和功能上的差异,帮助医生了解自闭症患者的脑部情况,为治疗提供依据。

自闭症患者的大脑在结构和功能上可能存在异常,通过核磁共振成像可以观察到这些差异。MRI可以提供大脑的详细图像,帮助医生识别大脑中可能与自闭症相关的特定区域的异常,如白质、灰质、脑室大小等。需要注意的是,MRI结果并不能直接确诊自闭症,它只是辅助诊断的一部分。自闭症的确诊需要综合考虑患者的临床表现、行为特征和发育情况。

【实用小贴士:】
1. 自闭症的诊断需要综合多种评估手段,MRI只是其中的一部分。
2. 如果您的孩子被怀疑患有自闭症,建议咨询专业的医疗机构进行全面评估。
3. MRI检查需要在专业医生的指导下进行,确保检查的安全性和准确性。
4. 自闭症的治疗和干预需要个体化的方案,结合多种治疗方法,如行为疗法、言语治疗等。